Для удаления камней из поверхности зубов используются разнообразные способы. Все они так или иначе повреждают десна, что приводит к возникновению на некоторое время болезненных ощущений и других неблагоприятных последствий. Поэтому важно понимать, каким образом стоит избавляться от них.

Что делать, если после домашней и профессиональной чистки болят зубы
Гигиена полости рта обеспечивает здоровые зубы, дёсны и красивую улыбку. Но часто во время чистки зубов и после неё может возникать зубная боль.
Причинами может быть:
- чувствительность зубов и эмали к компонентам зубной пасты;
- микротрещины;
- кариес;
- воспаление десен;
- слишком жесткая зубная щетка или аксессуар неподходящих размеров, который может нарушить целостность зубной эмали, вызвать рвотный рефлекс.
Стоимость процедуры
Цена процедуры зависит от местоположения и уровня стоматологической клиники, квалификации стоматолога и состояния полости рта пациента. Она может варьироваться от 2500 до 6600 рублей при условии, что в процедуру входит ультразвуковая чистка, Air Flow, полировка и фторирование всего зубного ряда.
Зубная боль, даже низкой интенсивности, доставляет много неудобств. В домашних условиях устранить причины ее появления невозможно, можно только временно обезболить больной зуб или десну, а потом посетить стоматолога. Однако, боль может появиться именно после посещения врача и профессиональной чистки ротовой полости. Как поступать в этом случае? Предлагаем разобраться в данном вопросе.
Правильная техника и подобранные аксессуары — это важно
Для того чтобы уберечь свои зубы от проблем и блистать белоснежной улыбкой важно соблюдать правила гигиены и знать как подбирать соответствующие аксессуары и средства для чистки.
- Для начала подберите зубную щётку правильных размеров и жёсткости: она не должна нарушать эмаль зубов и травмировать дёсны. Что касается размера: если у вас наблюдается рвотный рефлекс при использовании аксессуаров с крупной рабочей поверхностью, подберите размер поменьше, чтобы щётка обрабатывала исключительно сами зубы и дёсны, а не корень языка.
- Время чистки должно составлять как минимум три минуты. Беглое «ёрзание» щёткой не поможет уберечь зубы от кариеса. Для того чтобы чистка была максимально эффективной, необходимо качественно обработать зубы со всех сторон: жевательной, передней, задней. Обязательно пройдитесь специальной нитью между зубами, чтобы удалить остатки пищи. Желательно после данной процедуры прополоскать полость рта специальным ополаскивателем или же отваром трав.
- Если болезненность зубов или дёсен возникает в результате использования неподходящей пасты, посоветуйтесь с дантистом, какая именно будет для вас идеальной. Часто аллергические реакции могут вызывать отдушки, применяемые в изготовлении средства, поэтому постарайтесь выбрать нейтральную пасту, без добавок и аллергенов. Фтор также может быть раздражителем и если это так, стоит обращать внимание на состав и отдавать предпочтение тому варианту, в котором фтор используется в минимальных количествах.
- Не забывайте хорошенько массировать дёсны: делается это той же зубной щёткой, которой вы чистите зубы. Опять же: она не должна травмировать мягкие ткани. Несильными надавливаниями круговыми движениями массируйте дёсны с внешней и внутренней стороны – это улучшит приток крови, укрепит дёсны и, соответственно, зубы.
Как сохранить десны здоровыми

Самолечение лекарственными травами и другими средствами лишь устраняет симптомы, поэтому для лечения источника заболевания необходима квалифицированная помощь врача-стоматолога.
После чистки камней болят зубы.
Все больше людей в настоящее время заботится о белизне зубной эмали. Отбелить зубы помогает не только специальная процедура, но и счищение камней. Нередко после чистки камней болят зубы. Эти весьма неприятные ощущения доставляют много тягостных моментов. Причин, почему возникает боль, имеется две:
Состояние зубов
Если с зубами до начала проведения чистки не было особенных проблем, то, скорее всего, их не будет и после процедуры. Спровоцировать болезненные ощущения могут повышенная чувствительность эмали, кариес. Счищать с больных зубов камень предпочтительнее всего с использованием анестезии. В противном случае сама процедура доставит множество неприятных ощущений.
Непрофессионализм стоматолога
Неопытный доктор вполне может неправильно выполнить чистку зубов и повредить эмаль. Это в дальнейшем грозит не только болезненными ощущениями, но и возникновением кариеса. Стоит доверять свои зубы только настоящему профессионалу.
Но даже здоровые зубы на некоторое время после проведения чистки становятся излишнее чувствительными.
Снизить эту чувствительность поможет фторирование. Очищенные от зубного камня, а также налета зубы очень активно впитывают фтор из зубной пасты.
Если зубы болят длительное время, то не стоит ждать самостоятельного разрешения проблемы. Стоит, конечно же, обратиться к стоматологу.
Понравился материал? Поделись в соцсетях и поставь оценку. Остались вопросы? Задайте их в комментариях.
После чистки болят зубы.
Надоедливая зубная боль после чистки – явление весьма неприятное. Вроде бы, и перетерпеть эти ощущения можно, но не опасна ли подобная стойкость? Конечно, опасна. Тем более, что такие ненормальные реакции могут говорить о сложных заболеваниях зубов и полости рта, которые, без оперативного лечения, будут прогрессировать и разрушать белоснежную улыбку.
Давайте разберемся, почему после чистки зубы начинают болеть, как вылечить подобные проявления и избежать их в будущем.
Стоматологическая чистка зубов и ее последствия
Чистка зубов у стоматолога отличается качеством: при помощи ультразвука и напора воды удаляется зубной камень, а вместе с ним многочисленные микробы и бактерии, скопившиеся на зубах в течение длительного времени.
Кроме всего такая чистка является отличной профилактикой заболеваний дёсен. Удалить таким образом можно не только зубной налёт, но и камень, который находится даже ниже уровня дёсен (в некоторых случаях до уровня корней).
Если после обыкновенной чистки зубов при помощи щётки и пасты бактерии начинают откладываться на зубах и в «карманах» уже через 2-6
часов, то при использовании ультразвука период значительно увеличивается, а если соблюдать правила профилактики после процедуры, то можно избежать их появления ещё на более длительный период.
Что касается профессиональной чистки зубов, то и в данном случае иногда не возможно избежать болей после процедуры. Наиболее популярной сегодня является ультразвуковая чистка, но даже сверхмодные аппараты и средства не могут обеспечить безболезненности процесса если:
- у пациента чувствительная эмаль зубов;
- с вами работает не профессионал;
- зубы повреждены кариесом.
Прежде всего, чтобы не болели зубы после профессиональной чистки зубного камня, о состоянии своей полости рта вы должны позаботиться ещё до начала процедуры.
Если вы обратитесь к врачу, а в зубах имеются микротрещины или кариес, то болей вам не избежать. Здоровые зубы (или подлеченные) в большинстве случаев не так сильно реагируют на процедуру.
Итак, первое условие безболезненной чистки – здоровые зубы, а вот второе – специалист, который будет проводить процедуру, должен быть профессионалом своего дела.
Если за дело возьмётся новичок или человек, который не зарекомендовал себя в данной области, можно готовиться к болям после процедуры, даже если во время неё вам делали анестезию (в некоторых случая она предусмотрена).
Если же зубы болят уже после очистки зубного камня, то облегчить состояние можно соблюдением некоторых правил:
- после процедуры стоит воздержаться от приёма горячих напитков и пищи в течение двух часов;
- целые сутки придётся не употреблять в пищу грубые продукты;
- двенадцать часов не стоит пить напитки и есть продукты, которые могут окрасить эмаль: вино, кофе, свёкла и т.д;
- обязательно замените свою зубную щётку, после этого её менять необходимо через каждые три месяца;
- обязательно каждые три месяца посещайте своего врача и делайте профессиональную чистку;
- не забывайте использовать средства по уходу за полостью рта, которые советует стоматолог;
- если вы ощущаете сильную боль, лучше отказаться от чистки зубов щёткой в этот день: дайте дёснам и зубам отдохнуть.
Причины болей
Здоровые зубы с белой эмалью уже давно стали обыденностью. Белоснежную улыбку теперь можно увидеть повсюду. Это один из устоявшихся стандартов красоты в современном мире.
Однако чтобы зубы были здоровыми, нужно соблюдать гигиену ротовой полости. Проще говоря, проводить чистку надо дважды в день, а также пользоваться зубочистками и зубной нитью.
Кроме повседневной гигиены, необходимо ежегодно посещать стоматолога. Обычно после осмотра и лечения врач проводит тщательную чистку ротовой полости.
Эту процедуру можно провести отдельно от терапии. Профессиональная чистка становится все более популярной, поэтому очень важно знать, как ее проводят и для каких случаев она показана.
Многие задаются вопросом: почему начинают болеть зубы после профессиональной чистки, они же здоровые? Боль при чистке зубов можно объяснить многими причинами.
Во-первых, зубы могут быть совсем не такими здоровыми, как кажется. И, во-вторых, это может быть связано с высокой чувствительностью и заболеваниями ротовой полости. Кстати говоря, болеть могут не только зубы, но и десна.
Неприятные ощущения могут появиться и после очищения ультразвуковым аппаратом, даже несмотря на то, что это один из самых безопасных видов стоматологической чистки.
Это может происходить по нескольким причинам. Обычно чистка не приносит болевых ощущений людям с полностью здоровыми зубами, без кариеса и с крепкой эмалью.
Во время процедуры зубы, пораженные кариесом, могут сильно болеть, а человек – испытывать дискомфорт. Боли могут быть во время процедуры и после нее, когда человек разговаривает или ест.
Особенно неприятные ощущения вызывает аппаратная чистка зубов, пораженных кариесом, когда на них наносят порошковый состав, а затем полируют – ощущения можно сравнить с лечением без анестезии.
Если зубы очень проблемные, то делают обезболивающий укол, но это не всегда помогает. Если присутствует заболевание в начальной стадии, то все равно могут быть неприятные ощущения.
Помимо больных зубов, еще одной причиной может быть ошибка стоматолога. В некоторых случаях специалист может проводить процедуру неправильно.
Бывает, что врач повреждает зубную эмаль, что может дать начало развитию кариозной полости.
Еще одной причиной может стать неправильное соблюдение рекомендаций стоматолога. Например, после чистки ультразвуковой аппаратурой могут быть раздражены десны.
Помимо этого, может понадобиться другая паста, без большого содержания агрессивных химических веществ.
Кроме того, после такой чистки лучше три дня не курить и не пить красящих напитков.
Еще нужно сократить потребление кофе, т. к. во время профессиональной чистки с зубов вместе с налетом удаляется защитная пленка, которую формирует слюна. Из-за этого зубы становятся более уязвимыми.
Еще многие задаются вопросом, почему возникают болевые ощущения от обычной чистки дома. Чаще всего это говорит о формировании кариозной полости или повышенной чувствительности эмали.
Но в обоих случаях лучше обратиться к врачу, чтобы при случае вовремя начать лечение.
Не следует делать дома различные растворы из трав в надежде, что «само пройдет», нужно сразу записаться на прием. Еще проблема может быть в слишком жесткой щетке или неподходящей пасте.
Болит не выносимо, — неужели терпеть?
Естественно, самое правильное решение при появлении зубной боли любого характера обратиться за медицинской помощью к врачу-стоматологу, но если на данный момент у вас такой возможности нет, необходимо принять обезболивающее, если боль стала невыносимой.
Если же ощущения сносны, можно применить народные средства, но помните, что это не лечение и таким образом вы не устраните ни причины, ни последствия боли.
Читать также: Как лечить зубной камень в домашних условиях
Обезболивающие препараты, которые можно использовать для снятия боли в зубах:
- Анальгин;
- Кетанов;
- Кетолонг;
- Кеторал;
- Нурофен;
- Пенталгин.
Но на этом не стоит останавливаться, так как это будет лишь кратковременное облегчение. Обязательно используйте ополаскиватели для полости рта – это могут быть покупные средства или приготовленные в домашних условиях из различных трав и других вспомогательных веществ.
Среди самых действенных:
- Прекрасное средство от зубной боли различного происхождения – отвар шалфея. Для этого одну столовую ложку сырья необходимо залить стаканом воды (кипяток) и настоять на паровой бане в течение пятнадцати минут. Тёплым отваром полощите рот достаточно часто. После третьего полоскания боль будет значительно меньше.
- Таким же образом можно приготовить и отвар ромашки, который снимет воспаление, успокоит нервы. Его можно сочетать с мятой перечной.
- Раствор соды: на один стакан тёплой воды понадобится одна маленькая ложечка соды. Хорошенько перемешайте и применяйте для полосканий рта.
- Стоит использовать и специальные медицинские препараты, например, мазь Метрогил Дента. Она отлично снимет воспаление и облегчит состояние.
Но насколько бы эффективным не было полоскание, не забывайте, что посетить врача необходимо в любом случае, чтобы не упустить момент и не запустить болезни зубов.
Почему болят десны после удаления зубного камня
Зубной камень (твердый налет) – минеральные отложения на эмали, окрашенные в желтый, серый, коричневый оттенок. Формируются они из зубной бляшки (так называют мягкий налет), включающей в себя фосфор, магний, кальций и т. д.
Укрепляем зубную эмаль
Если ваши зубы не поражены кариесом, и причиной боли после чистки является чувствительная тонкая эмаль, попробуйте укрепить ее проверенными временем средствами.
- Прополис давно известен как целебное снадобье для зубов и десен. Достаточно пару раз в день жевать жвачку из прополиса, чтобы укрепить эмаль и поддержать здоровое состояние мягких тканей.
- Соль – это, пожалуй, самый доступный природный укрепитель эмали. Чтобы зубы стали сильнее, стоматологи советуют растворить маленькую ложку порошка на чашку теплой воды и полоскать полученным составом полость рта. Можно смешать морскую соль с маслом и наносить средство на зубы, на 5-10 минут.
- Лимонные листья невероятно полезны для эмали. Наверняка у ваших друзей и знакомых на подоконнике растет лимон. Возьмите несколько листиков с, измельчите их. Полученную кашицу наносите на эмаль раз в неделю.
- Масло чайного дерева не только борется с налетом на зубах, но и укрепляет эмаль, препятствует образованию кариеса и улучшает состояние десен.
И, конечно, не стоит забывать о правильном питании. Каким бы тщательным ни был ваш уход за полостью рта, здоровья эмали не добиться, если ваш ежедневный рацион составляет фастфуд и сладкие газировки. Питайтесь сбалансированно, замените вредные сладости полезными фруктами и медом, а кока-колу – зеленым чаем. И, поверьте, уже через пару недель вы заметите, что эмаль стала крепче, а зубы все меньше болят после чистки.
Методы борьбы с зубным камнем
В современной стоматологии используются эффективные безопасные и практически безболезненные методики для удаления твердого и мягкого налета на зубах. Это позволяет не только сделать саму процедуру комфортной для пациента, но и предотвратить ее возможные осложнения.
Борьба с зубными камнями при помощи скалера предполагает размягчение твердого налета ультразвуком, его удаление направленным потоком очищенной воды, обработку и шлифовку эмали. Так, для очистки зубов от налета чаще всего применяется ультразвуковой скалер – удобный прибор, который справляется с поставленной задачей быстро и качественно.
Так, процедура проводится в несколько последовательных этапов:
- Обезболивание. При необходимости (повышенная чувствительность эмали, мягких тканей ротовой полости) пациенту вводится инфильтрационная или накладывается аппликационная анестезия.
- Удаление налета на задней поверхности и между зубами. Так, под воздействием ультразвука камни размягчаются и легко отходят от эмали. Аппарат, которым проводится чистка, направляет на зубы поток воды, смывает даже самые мелкие размягченные частички налета.
- Полирование. Очищенная и обработанная коронка шлифуется при помощи специальных резиновых дисков (убираются неровности, шероховатости). Гладкая поверхность «дарит» эмали естественный здоровый блеск, позволяет избежать «атак» вредоносных факторов ротовой полости.
- Антисептическая обработка. Данный этап позволяет избежать воспаления десен после процедуры, распространения инфекции, дополнительных осложнений после чистки.
- Фторирование зубов. Главная задача – укрепление зубной эмали, «заделывание» трещин на ней, снижение чувствительности.
- Применение лечебных повязок. Показание: острые воспалительные процессы в области пародонта, повышенная кровоточивость десен после использования скалера. В составе таких повязок (в зависимости от имеющихся стоматологических проблем) содержатся антибактериальные препараты, сульфаниламиды, фунгистатические и противовирусные средства, ферменты и антисептики.
Будут ли болеть зубы поле процедуры
- Удаление камня. Основным этапом профессиональной чистки зубов является удаление зубного камня под действием ультразвука. Камень легко отходит от поверхности зубов и счищается.
- Чистка с помощью аппарата Air Flow. Под напором к поверхности зуба из специального аппарата поставляются абразивные частицы с потоком воды. Частицы не только очищают, но и отбеливают эмаль, делают ее на 1-2 тона ярче.
- Полирование твердых тканей зуба. После чистки поверхность эмали становится немного шероховатой, и, если оставить ее в таком состоянии, на поверхности зубов очень быстро начнет образовываться зубной камень. Чтобы этого не происходило, зубы обрабатывают с помощью специальных резиновых дисков и щеток. После полирования эмаль становится гладкой, что защищает ее от негативных воздействий.
- Антисептическая обработка. Профилактикой воспалений пародонта при профессиональной чистке зубов является антисептическая обработка полости рта. Применение антисептиков позволит остановить распространение инфекции и избежать дополнительных осложнений.
- Фторирование зубов. Этот этап лечения является обязательным, если эмаль пациента слаба, чувствительна и склонна к разрушениям. После чистки на зубы наносится фторлак, что позволяет укрепить эмаль.
- Использование лечебных повязок. При выраженном воспалении пародонта, кровоточивости или значительной травме десен, которая произошла в процессе удаления зубных отложений, врач может принять решение об использовании лечебных повязок. Повязки готовятся перед применением, в их составе могут содержаться антибиотики, противовирусные препараты, ферменты, антисептики или сульфаниламиды.
Очевидна польза стоматологической чистки для зубов. Как правило, специалисты используют ультразвуковой метод очистки. Врач при помощи воды и ультразвука удаляет зубной камень, а также многочисленные бактерии и микробы, которые долго время скапливались в полости рта. Чистка позволяет удалить и неэстетичный внешний налет, и камень, находящийся ниже уровня десен.
Однако очень часто после профессиональной чистки пациенты жалуются на боли. И при этом причиной неприятных проявлений является не сама процедура, а реакция самого человека. Боль после чистки зубов у стоматолога могут спровоцировать:
- повышенная чувствительность эмали;
- неопытный стоматолог;
- кариес.
Если зубы неожиданно заболели после чистки у стоматолога, можно облегчить свое состояние подручными средствами. Мы расскажем о нескольких важных правилах, следуя которым после чистки зубного камня вы не будете мучиться от неприятных ощущений.
- Воздержитесь от приема слишком горячих и слишком холодных блюд и напитков в течение 2 часов после процедуры.
- Сутки после чистки не употребляйте твердые и грубые продукты.
- На 12 часов после процедуры под запретом блюда и напитки, которые могут окрасить эмаль (кетчуп, кофе, вино, свекла и т.д.).
- Сразу после чистки нужно заметить свою щетку (и впоследствии менять ее каждые три месяца).
При сильных болях рекомендуется отказаться вечером после процедур от чистки зубов щеткой; нужно дать деснам немного отдохнуть.
Если зубы и десны после стоматологической чистки болят просто невыносимо, рекомендуется обратиться за помощью к врачу. Ночью допускается прием обезболивающих препаратов.
Эффективным способом снятия неприятных ощущений являются ополаскиватели. Можно приготовить отвары и растворы самостоятельно. Приведем наиболее популярные рецепты:
- Отвар шалфея. Столовую ложку сырья залейте стаканом кипятка, а затем – отправьте смесь на паровую баню на 15 минут. Отваром необходимо полоскать рот каждый час. Уже после третьего полоскания боль становится менее интенсивной.
- Отвар ромашки не только хорошо обезболивает и снимает воспаление, но и прекрасно успокаивает нервы.
- Раствор соды позволит за один вечер снять неприятные последствия чистки. Для его приготовления нужно растворить чайную ложку соды в стакане теплой воды.
Зубы после чистки камня болеть не будут. Наоборот, появившееся ощущение свежести во рту способствует общему комфортному самочувствию. Врач может порекомендовать какое-то время после чистки использовать ополаскиватели.
Важно. После проведения процедуры рекомендовано пару часов не есть и не курить.
Почему возникают осложнения
После удаления зубного камня большинство пациентов сталкиваются с неприятными ощущениями и в процессе, и по завершении использования скалера. Но болезненность десен после удаления камней – явление в большинстве случаев ненормальное и требующее врачебного вмешательства.
Если у пациента болят зубы (десны) после чистки, это может быть указывать на повышенную чувствительность эмали (мягких тканей) ротовой полости. Кроме этого, «виновниками» неприятных ощущений нередко становятся разнообразные стоматологические заболевания воспалительной природы – пародонтоз, пародонтит, гингивит, гистиоцитоз, стоматит и т. д.
Другие причины появления дискомфорта после удаления зубного камня:
- наличие трещин на эмали;
- неправильно подобранная зубная паста, ополаскиватель и т. д. для ежедневного ухода за полостью рта;
- кариозные очаги на зубах;
- гингивит;
- поражение слизистой рта грибковыми, бактериальными инфекциями;
- травмы мягких тканей;
- периодонтит, пульпит зуба;
- зубная щетка с жесткими волокнами.
Десны при беременности кровоточат
Кровоточат десна при беременности – это уже отдельная тема. Многие будущие мамы переживали подобное неудобство вов время вынашивания малыша. На это есть достаточно веская причина. Женщина, которая переживает беременность, испытывает очень мощные гормональные сдвиги. И это, конечно же, сказывается на ее здоровье.
В процессе беременности десны женщины становятся рыхлыми и воспалившимися и кровоточат при любом неаккуратном прикосновении. Чаще всего после родов это состояние прекращается. Рекомендуется перед беременностью пройти плановый стоматологический осмотр для выявления возможных очагов воспалений, а также ликвидировать их.
К сожалению, избежать кровоточивости десен при беременности удается не всегда, даже при соблюдении всех мер профилактики.Это начинается с 4 месяцев беременности. Если нет заболеваний полости рта, то это не требует специального лечения. Всего лишь необходимо следовать рекомендациям, которые представлены ниже:
- Питаться нужно полноценно. Не садиться на диеты. Это будет вредно не только деснам, но и малышу.
- Чистка зубов показана не дважды в день, а после каждого приема пищи.
- Остатки еды необходимо обязательно удалять с помощью флосса (зубной нити).
- Рот нужно будет полоскать различными травяными настоями, а также отварами.
- Необходимо пользоваться противовоспалительными зубными пастами. Такими, как например, Продонтакс, Асепта или же Лакалут.
Но в том случае, если кровотечения были вызваны зубными камнями, то необходимо придерживаться следующих правил при их удалении:
- Лучше всего посещать стоматолога во втором триместре.
- Продолжительность манипуляций должна быть сведена к минимуму.
- Ни в коем случае нельзя подвергаться ультразвуковому удалению зубных камней.
- Важно помнить, что стоматолог обязан использовать препараты, не противопоказанные беременной.
Как избежать дискомфорта и боли после чистки
Что делать, чтобы избежать боли в деснах (зубах) по завершении манипуляций: прежде всего, следовать тем рекомендациям, которые дает врач-стоматолог, проводивший процедуру. Так, главными правилами, которые стоит соблюдать, являются следующие:
- полоскать рот 2–3 раза в сутки (не дольше 5 дней) обеззараживающими растворами (Хлоргексидином, Мирамистином). Основная цель таких манипуляций – профилактика развития воспалительного процесса. При продолжительном применении местных антисептиков может развиться местный дисбактериоз, поэтому злоупотреблять таковыми не стоит.
- Чтобы убрать чрезмерную кровоточивость десен (в том числе, как один из симптомов гингивита), рекомендуется использовать аппликации со специальными мазями, гелями. Так, большим спросом пользуется гель Метрогил Дента – его наносят на воспаленные участки 2–3 раза в сутки, оставляют на 20 минут. Продолжительность лечения – 3–5 дней.
Проверенные народные рецепты также приходят на помощь в комплексной борьбе с чувствительностью эмали, болезненностью десен после удаления камней. Так, полезно полоскать рот настоем ромашки (календулы, шалфея): 1 ст. л. сухого сырья запаривают стаканом кипятка, оставляют на 30–40 минут, процеживают, остужают. Полоскания можно проводить каждые 2–3 часа до тех пор, пока дискомфорт не исчезнет.
Чтобы мягкие ткани ротовой полости восстановились как можно быстрее, врачи-стоматологи советуют воспользоваться Парадонтаксом или Солкосериловой пастой. Для сохранения эффекта проведенной чистки на максимально длительный срок рекомендуется, помимо привычных щетки и пасты, ежедневно пользоваться зубными нитями, ополаскивателями для рта и специальными ирригаторами.
Многих пациентов интересует вопрос, когда можно есть после удаления камней скалером. Стоматологи советуют не употреблять пищу и горячие (красящие) напитки хотя бы в течение 2–3 часов по завершении процедуры. Кроме этого, сутки нельзя есть грубую пищу, рекомендуется также заменить старую зубную щетку новой, применять дополнительные средства для ухода за зубами (ротовой полостью).
Итак, профессиональная чистка зубов – безопасная и эффективная процедура, которая позволяет не только удалять камни, но и предотвратить развитие воспалительных процессов, кариеса и других стоматологических проблем. Незначительный дискомфорт после проведения ультразвуковой чистки считается вариантом нормы (в особенности у пациентов с чувствительной эмалью), но если по завершении процедуры сильно болят и кровоточат десны, шатаются «обработанные» зубы, необходимо обязательно посетить стоматолога для устранения таких осложнений.
Кровоточат десны: лечение в домашних условиях
- Первым этапом проводится чистка зубов и удаление камней ультразвуком.
- Вторым – ежедневные полоскания Хлоргексидином ротовой полости и десен на протяжении 10 суток каждое утро после завтрака чистятся зубы, и используется полоскание. Полоскать рот нужно одну минуту. Затем десны подсушивают тампоном из марли и наносят Холисал-гель. Процедура повторяется вечером после ужина.
- В дальнейшем подбирается зубная щетка с маркировкой Soft, имеющая мягкую щетину используются специализированные зубные пасты и зубные нити (флосс и суперфлосс) для гигиены полости рта.
- Дважды в год выполняются профилактические визиты к стоматологу.
При склонности к кровотечениям из десен следует уделить больше внимания гигиене ротовой полости.
- Зубные пасты – с этой целью в домашних условиях рекомендуется пользоваться специализированными зубными пастами, особенно эффективна паста Пародонтакс (не очень приятная на вкус, но натуральная и лечебная), можно также использовать Бланкс, Лакалют, ПрезиДент, Мексидол.
- Растворы для ополаскивания – помогут снизить риски воспалительных явлений (Perio-Aid, PresiDent, VitizOrthodontic, Элфикс, Лесной бальзам, Effectiv, Стоматофит Фреш).
- Антисептики показаны для санации полости рта – Мирамистином, Элюдрилом, Хлоргексидином, раствором Люголя. Спреем Йокс, Корсодилом, Йодинолом, Хлорфиллиптом, Сальвином, Новоиманином, Настойкой Календулы, 0,2% раствором Фурациллина, Пищевой соды – назначаются стоматологом определенным курсом (как правило, не более 10 дней). Нельзя злоупотреблять и использовать для дальнейшего ежедневного полоскания (см. почему ополаскиватели для полости рта нельзя часто использовать).
- Таблетки для рассасывания: Граммидин, Септолетте, Ларипронт, Фарингосепт, Гексализ, Аджисепт, Декамин позволяют бороться с инфекцией. Их также следует использовать курсом, нельзя злоупотреблять (при длительном использовании нарушается естественная защитная микрофлора полости рта).
- Аскорутин на недельный курс позволяет снижать хрупкость капилляров.
- Стимулируют заживление слизистой Сальвин, Ротокан, Облепиховое масло, Стоматофит, дентальная паста Солкосерил, гель МетрагилДента, спрей Пародонтоцид.
Предлагаем ознакомиться: Причины воспаления лимфоузлов брюшной полости
Специалисты не рекомендуют заниматься самолечением. Неправильно подобранный способ терапии может спровоцировать тяжелые осложнения. Патологические процессы в полости рта лечит пародонтолог. На первичном приеме для выявления причин врач осуществляет следующие манипуляции:
- визуальный осмотр полости рта;
- инструментальное исследование с помощью пародонтологического зонда для определения степени поражения;
- рентгенологическое исследование для оценки состояния внутрикостной системы;
- взятие бакпосева при назначении антибиотикотерапии.
После постановки точного диагноза врач разрабатывает тактику лечения. Как правило, это применение медикаментозных препаратов, аппаратное лечение и физиотерапевтические процедуры. Специалист дает пациенту подробные рекомендации относительно питания, выбора правильной зубной щетки и пасты, а также техники очищения зубов.
Для того чтобы избежать проблем с деснами, необходимо выполнять ряд правил:
- Ежедневная чистка зубов утром после завтрака и вечером перед сном. Также следует полоскать рот водой после каждого приема пищи и регулярно пользоваться зубной нитью для удаления из межзубных промежутков застрявших кусочков еды. Рекомендуется уделять внимание массажу десен щеткой с мягкой щетиной. Необходимо ежедневно очищать поверхность языка от налета, образовавшегося за день, специальными приспособлениями.
- Применение щетки с жесткостью щетины, соответствующей состоянию эмали и десен. Выбор зубной пасты следует осуществлять совместно со стоматологом.
- Регулярное посещение стоматолога для профилактического осмотра. Эта мера убережет зубы и десны от различных заболеваний.
- Своевременное профессиональное удаление налета и зубного камня.
- Ежедневное употребление твердых овощей и фруктов. Регулярное включение в рацион таких продуктов не только обеспечивает организм полезными микроэлементами, но и способствует механическому очищению поверхности зубов.
Специалисты призывают правильно ухаживать за зубами и бережно к ним относиться. Только в этом случае они будут здоровыми, а десны не станут кровоточить и воспаляться.
Если кровь из десны идет из-за наличия воспаления в полости рта, назначается медикаментозное лечение. Предварительно врач проводит профессиональное удаление налета и камня. Затем подбираются лекарственные препараты:
- Часто назначаются такие антибиотики, как Левомицетин, Олазоль, Сумамед и др.
- Для лечения слабых воспалительных процессов показаны такие противомикробные средства, как Холисал, Асепта, Камистад и Метрогил Дента. Они позволяют купировать отечность и воспаление десны.
- В случаях, когда воспалительный процесс провоцирует поражение тканей или стоматит, назначаются препараты с антисептическим или эпителизирующим действием, например, Солкосерил или Актовегин. Они выпускаются в форме мази для наружного применения.
- Для полоскания рта применяются Гивалекс, Ангилекс, Стоматидин и Стоматофит.
При выборе того или иного лекарственного препарата предпочтение обычно отдается гелеобразным средствам, поскольку они лучше всего борются с болезнями полости рта и при нанесении хорошо держатся на поверхности десен.
Если при чистке зубов кровоточат десны, устранить проблему помогает аппаратное лечение. При помощи специальных приспособлений осуществляется глубокая очистка пародонтальных карманов и восстанавливаются поврежденные ткани.
Применение аппаратуры позволяет быстро избавиться от множества заболеваний полости рта. Используя специальные устройства, врач удаляет сильно затвердевшие зубные камни и иссекает грануляционную ткань из пораженного десневого кармана.
Когда десны кровоточат при чистке зубов, рекомендуется заменить старую щетку на ту, которая имеет мягкую щетину (упаковка маркируется надписью «soft»). Пасты должны снимать болевые ощущения. К наиболее популярным маркам, обладающим такими свойствами, относится Лакалют, Сплат и Парадонтакс. Эти зубные пасты содержат активные лекарственные компоненты и экстракты целебных трав.
Для достижения большего эффекта применение специальных паст рекомендуется совмещать с использованием ополаскивателей. При выборе того или иного средства нужно обращать внимание на их состав.
При применении указанных средств следует помнить, что они не предназначены для регулярного использования. Это объясняется тем, что болезнетворные микроорганизмы со временем становятся устойчивыми к активным компонентам препаратов. Специалисты рекомендуют использовать указанные средства не дольше 1 месяца.
Питание
Независимо от того, почему возникает кровоточивость десен, для их укрепления следует придерживаться сбалансированного питания. Ежедневное меню должно содержать достаточное количество белка. Он способствует улучшению состояния слизистых оболочек полости рта. Здоровье десен невозможно без употребления:
- Продуктов, богатых витамином С. «Чемпионами» по содержанию аскорбиновой кислоты являются капуста, зелень, малина, картофель, смородина, томаты и цитрусы.
- Пищи, содержащей достаточное количество витамина В. Он входит в состав молочных продуктов, яблок, гречневой и овсяной крупы, куриных яиц, говядины.
- Еды, богатой витамином К. Он в большом количестве содержится в огурцах, бананах, авокадо, тыкве, молоке, шпинате.
- Блюд, изобилующих витамином Е. Этот микроэлемент входит в состав бобовых культур, молочных продуктов, трески.
- Свежевыжатых соков. Морковный и свекольный сок укрепляют десны. Употреблять их рекомендуется утром натощак.
- Пряностей. Кунжут, васаби и корица благотворно действуют на кровеносные сосуды десневых тканей. Также полезно употреблять морскую соль.
Важно следить за достаточным поступлением в организм витамина С. Дефицит этого микроэлемента может провоцировать такую опасную болезнь, как цинга.
Физиотерапия
Для лечения хронических воспалений используется физиотерапия:
- массаж десневых тканей выполняется вручную либо с помощью специального аппарата;
- дарсонвализация – метод основан на воздействии разрядов тока на пораженную область;
- вакуумная терапия – применение специальных насосов.
Народные средства
Хороший терапевтический эффект при кровоточивости десен оказывает использование рецептов народной медицины. Наиболее действенны отвары из:
- Цветков ромашки. 1 ст. л. сухого сырья нужно залить 250 мл кипятка. Раствор настаивается и процеживается, после чего используется для полоскания полости рта. Это средство оказывает противовоспалительный и ранозаживляющий эффект.
- Коры дуба. Отвар готовится по той же схеме, что и в первом случае. Благодаря вяжущим свойствам средство эффективно борется с кровоточивостью десневых тканей.
- Шалфея. Это лекарственное растение обладает антибактериальными и обезболивающими свойствами. Готовится так же, как и в первых двух случаях.
Раствор соды является доступным и простым в приготовлении средством для полоскания полости рта. Он обладает противомикробным действием, а его использование призвано купировать воспаления. Наряду с указанными средствами можно применять алоэ. Тщательно вымытый и очищенный от шкурки мясистый лист этого растения следует жевать несколько раз в день на протяжении 10 минут.
Если у вас кровоточат десны при чистке зубов – лечение должно проводиться у врача-пародонтолога (именно эти врачи специализируются не лечении десен). Самое главное, что нужно делать на первом этапе лечения – удалить причинный фактор развития воспаления десен, т.е. провести ультразвуковую чистку зубов от микробного налета и зубного камня. Сделать это можно только у стоматолога. А вот следующий за чисткой курс противовоспалительной терапии – можно будет провести и в домашних условиях.
Болят зубы после чистки ультразвуком: что делать?
Ультразвуковое удаление зубного камня — современный способ избавиться от твердых отложений, вызывающих инфекционные заболевания ротовой полости. Это безопасная и комфортная процедура, которая показана всем, даже беременным женщинам. Но есть исключение из правил — это пациенты с тонкой поврежденной эмалью, ультразвуковое воздействие на которую может вызвать болезненные ощущения как во время санации, так и после нее
Дело в том, что чувствительность зубов после чистки ультразвуком может повыситься. Поэтому прежде чем отправиться на эту процедуру, необходимо получить консультацию врача-стоматолога.
Что такое чистка ультразвуком
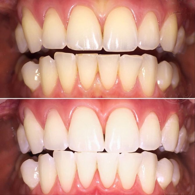
При ультразвуковой чистке применяется специальное стоматологическое оборудование — ультразвуковой скейлер. Принцип его работы заключается в генерации ультразвуковых волн, которые при попадании на поверхность зуба размягчают налет разной степени плотности и удаляют его. Для того, чтобы достичь максимального эффекта, амплитуда и частота волн настраиваются индивидуально для каждого пациента. Поверхность зуба после обработки становится гладкой и блестящей, а также светлеет на 1-2 тона.
Почему после ультразвуковой чистки могут болеть зубы
Если у пациента болят зубы после чистки ультразвуком, то это может быть вызвано двумя причинами. В первую очередь — повышенной чувствительностью зубов, связанной с дефектами или повреждениями эмали. Поэтому прежде чем воспользоваться данной услугой, следует укрепить зубную эмаль фторсодержащими средствами и провести процедуру глубокого фторирования зубов в стоматологической клинике. Второй причиной возникновения болезненных ощущений после чистки ультразвуком являются воспалительные заболевания ротовой полости: пародонтоз, гингивит, кариес и другие. Удаление зубного камня может быть необходимым для лечения этих заболеваний. В этом случае, чтобы избавить пациента от боли во время процедуры, стоматологи используют местную анестезию. Врач также назначит обезболивающие и противовоспалительные препараты для приема после ультразвуковой чистки.
Что делать, если после ультразвуковой чистки болят зубы
Снять болезненные ощущения после чистки зубов ультразвуком можно в домашних условиях. Аппликации с антимикробными противовоспалительными лекарственными препаратами (к примеру, «Метрогил-дента», «Траумель С» и другие) помогут снять воспаление, купируют болевой синдром, снимут отек мягких тканей полости рта. При особой чувствительности шейки зуба для ухода за ротовой полостью следует использовать зубные пасты, содержащие фтор, и травяные ополаскиватели. Если же комплекс домашних гигиенических процедур не помогает снять боль и/или она усиливается, то необходимо посетить стоматологическую клинику, где специалисты подберут адекватное лечение.
Мнение эксперта
Строгое выполнение рекомендаций стоматолога по уходу за ротовой полостью поможет избежать болезненных ощущений после ультразвукового удаления зубного камня. Медики советуют в первые сутки после процедуры чистить зубы каждый раз после еды, используя мягкую щетку и пасту для чувствительных зубов.
Также необходимо отказаться на первое время от приема холодной, горячей, острой и кислой пищи, которая оказывает агрессивное воздействие на чувствительную эмаль.
Согласитесь, это достаточно простые и выполнимые медицинские предписания! При их соблюдении удаление зубного камня ультразвуком будет исключительно комфортным — ведь это самый безопасный и безболезненный способ избавления от зубного камня, применяющийся в современной стоматологии.
Профилактика ротовой полости
Неприятные ощущения после чистки – это вполне нормально, т. к. стоматолог счищает не только лишние отложения, но и тонкий слой эмали.
Дискомфорт после процедуры бывает у многих людей, а болезненные ощущения только у тех, у кого есть проблемы в ротовой полости.
Боль можно перетерпеть или воспользоваться обезболивающими препаратами. Болезненные ощущения могут пройти через несколько часов, но иногда они затягиваются.
Обычно после отбеливания боль проходит спустя двое суток. Что касается профессиональной чистки, то после нее болезненные ощущения могут продолжаться несколько часов.
Если за это время боль не прошла, то нужно записаться на прием к стоматологу и воспользоваться обезболивающими препаратами.
Болевые ощущения могут быть острыми, тупыми, интенсивными, кратковременными, долговременными и т. д. Если боль едва заметная, то это нормально. Но если она острая и сопровождается пульсацией, то это повод обратиться к врачу.
Чтобы не было дискомфорта после чистки, нужно соблюдать гигиену полости рта. Следует вовремя чистить зубы, не менее трех минут. Кроме того, нужно решить, подходит ли зубная щетка.
В некоторых случаях ворсинки могут быть очень жесткими, из-за чего раздражается не только зуб, но и десна.
Если наблюдается легкое раздражение мягких тканей, то щетку нужно заменить. В противном случае может быть не только дискомфорт, но и пародонтоз.
Если стоматолог советует приобрести ультразвуковую или электрическую щетку, то лучше последовать его совету, т. к. такими приборами можно проводить массаж десен.
Это особенно полезно для тех, у кого сильная предрасположенность к пародонтозу (когда воспаляется десна).
Помимо этого, нужно чистить не только передние зубы, но и всю ротовую полость. Так нужно потому, что налет скапливается практически везде – на слизистых, языке, деснах и т. д.
В противном случае может развиться кариес или другое заболевание. Еще очень полезно использовать зубную нить – она удаляет кусочки еды между зубами и с десен.
Кроме того, если зубы очень чувствительные, то нужно подобрать пасту без агрессивных химических веществ и фтора.
Только в этом случае нужно помнить, что очищает она хуже, а значит, чистку надо проводить более тщательно.
Однако обычную пасту все-таки нужно использовать хотя бы раз или два в неделю, т. к. фтор очень полезен для эмали.
Если есть генетическая предрасположенность к пародонтозу, то можно делать массаж мягких тканей – это приведет их в тонус, сделает более здоровыми и снизит вероятность заболевания.
Можно даже провести эксперимент – после такой процедуры десна будет меньше раздражена, а значит, и после любой чистки болеть не будет.
В качестве профилактики от болезней и дискомфорта можно немного разнообразить рацион. Например, добавить в него больше кисломолочных продуктов, фруктов и овощей.
Делать это нужно особенно тем, у кого в зубах явный недостаток кальция и минералов. При этом нужно есть твердую пищу, т. к. она приводит в тонус зубы и десны.
Делать профилактику ротовой полости не так сложно, как кажется, и при этом можно хорошо укрепить зубы.
Для удаления камней из поверхности зубов используются разнообразные способы. Все они так или иначе повреждают десна, что приводит к возникновению на некоторое время болезненных ощущений и других неблагоприятных последствий. Поэтому важно понимать, каким образом стоит избавляться от них. Повышенная чувствительность зубов и дёсен.
Особенности проведения профессиональной чистки зубов
Профессиональная чистка – это процедура, заключающаяся в удалении квалифицированным стоматологом налета и минерализованных частиц из поверхности зубов в виде камней посредством специальных инструментов, препаратов и оборудования.
Рекомендуется проводить профессиональную чистку зубов два раза в год. Это важно, так как предотвращает развитие проблем ротовой полости:
- воспаление десен;
- неприятный запах изо рта;
- образование кариеса;
- расшатывание зубов;
- выпадение зубов.
Чистка зубов у стоматолога, способная удалить камни, также помогает восстановить естественный блеск эмали, ее оттенок и гладкость. К тому же, некоторые виды ортодонтических процедур, такие как протезирование и имплантация, не проводятся без удаления каменных отложений.

Народные средства, если кровоточат десна
Противовоспалительные,антисептические и гемостатические средства народной медицины для десен достаточно безопасны. Существует множество вариантов широко применяющихся в быту народных лекарств. Их достаточно просто готовить и хранить.
- Кора дуба – одним из популярнейших рецептов стал отвар из коры дуба. Дубильные вещества этого средства укрепляют десны и снижают риск кровотечений из них. Полустаканом кипящей воды следует залить столовую ложку коры. Далее получившуюся суспензию необходимо довести до кипения и варить на слабом огне или водяной бане 6-7 минут. Отвар остудить и процедить. Полоскать рот дубовым отваром два раза в день – утром и вечером.
- Ромашка – десертную ложку аптечной ромашки заливают чашкой крутого кипятку. Настаивают в термосе в течение тридцати минут. Опять же процедить. Полоскать этим отваром рот необходимо после каждого приема пищи.
- Шалфей – к двум столовым ложкам травы шалфея необходимо долить 400 миллилитров горячей кипяченой воды и дать настояться под крышкой полчаса. После этого также необходимо процедить отвар шалфея и полоскать рот 2 раза в сутки.
Таким образом, если кровоточат десна при чистки зубов, стоит внимательно поискать причины такого состояния. До похода к стоматологу можно воспользоваться простыми аптечными или народными антисептиками противовоспалительными средствами. Однако, откладывать визит к врачу не стоит из-за серьезной угрозы для сохранности зубов и здоровья ротовой полости.
Удаление зубного камня ультразвуком
Ультразвуковая чистка зубов – это один из эффективных способов удаления камней. Для подобной процедуры используется специальный скейлер, который способен генерировать вибрации определенной частоты.
Дабы волны разрушали наслоенные на эмали частицы, стоматолог в индивидуальном порядке подбирает соответствующий диапазон работы. Под его воздействием камень постепенно дробится, тем самым отделяясь от поверхности зуба.

Вместе с использованием процедуры ультразвуковой чистки нередко стоматологи применяют Air Flow. Он подразумевает обработку поверхности зубов при помощи струи воды вместе с воздухом. Это позволяет охладить эмаль, вслед за чем стоит ее отполировать и очистить от оставшегося налета.
Этапы ультразвуковой чистки
Ультразвуковая чистка — самый эффективный способ удаления зубных камней на сегодня. Для проведения процедуры используется специальный ультразвуковой скейлер, который генерирует вибрации определенной частоты. Характеристики волн подбираются индивидуально. Под их воздействием камень дробится и отделяется от эмали.
Часто вместе с ультразвуковой чисткой стоматологи применяют процедуру Air Flow. Ее суть заключается в обработке зуба струей воды с содой и воздухом. Так зубы охлаждаются после воздействия ультразвуком, полируются и дополнительно очищаются от налета.
Главным показанием к проведению ультразвуковой чистки является наличие зубного камня. Он может появиться при регулярном и добросовестном уходе за полостью рта, так как в труднодоступных местах невозможно очистить зубы щеткой. Заболевание характеризуется кровоточивостью и воспалением десен, неприятным запахом изо рта.
Также процедуру применяют для лечения гингивита, вызванного зубным камнем, сопровождающимся воспалительными процессами в краевой части десны. Это заболевание может перерасти в пародонтит, когда шейка зуба обнажается, в пространстве между ней и десной накапливается гной. Стоматологи рекомендуют предупреждать заболевания проведением профилактической ультразвуковой чистки раз в год.
Противопоказания
Главным преимуществом процедуры перед другими является эффективность и безболезненность. Ультразвук не наносит повреждения зубной поверхности. Но повышенная чувствительность зубов и непрофессионализм врача могут принести пациенту дискомфорт.
Процедура имеет несколько приятных бонусов в виде отбеливания эмали на два-три тона в результате удаления темного налета, а их поверхность становится гладкой.
К минусам процедуры можно отнести большое количество противопоказаний и высокую стоимость. Также на первое время рекомендуется исключить из меню агрессивно действующие на эмаль продукты, список желательно уточнить у стоматолога.
После чистки несколько дней нужно придерживаться рекомендаций врача по уходу за полостью рта и питанию. Возможно, придется повторно обратиться к стоматологу при возникновении болей или воспалений.
Зубной камень, как причина воспаления и боли десен
Обычная чистка зубов, которая проводится всеми людьми дважды в день, не способна даже при полном соблюдении правил ее проведения и применения качественных щеток, полностью избавить человека от налета, который постоянно образовывается в ротовой полости. Чаще всего его накопление происходит в промежуток между отдельными зубами. Это касается, в первую очередь, заднего пространства, пришеечной области и поддесневого пространства.
Читать также: Как чистят каналы зуба
Со временем в налете начинают скапливаться минеральные соединения. Они в дальнейшем приводит к уплотнению отложений. Чем дольше происходит этот процесс, тем крепче образуется камень. Самостоятельно от него избавиться будет невозможно.
Спустя время плотные камни приводят к тому, что возникает воспалительный процесс. Такое последствие носит название гингивита. Появляются патологические зубодесневые карманы, а также пародонтоз – глубокое поражение околозубной ткани. В настоящее время данная патология называется пародонтитом с агрессивным течением.
Проблемы десен после профессиональной чистки зубов
После того, как проводится профессиональная чистка зубов, в некоторых случаях невозможно предотвратить возникновение неблагоприятных последствий. Прежде всего, это случает вследствие таких причины, как:
- наличие чрезмерной чувствительности эмали у пациента;
- повреждения зубов кариесом;
- использования непрофессионального оборудования;
- низкая квалификация врача.
Первые из вышеперечисленных причин являются основными, которые так или иначе приводят к осложнениям. Именно поэтому, чтобы предотвратить последствия, стоит попытаться устранить заболевания зубов до начала процедуры. Иногда это невозможно, в иных – даже здоровые или вылеченные зубы слишком чувствительно реагируют на удаление камней.
Кровоточивость десен после профессиональной чистки зубов
Осложнения после проведения профессиональной чистки зубов заключаются в следующем:
- Десны могут воспалиться. Это происходит вследствие того, что процедура повреждает окружающие зубы ткани. После этого образованные раны заражаются условно патогенными микроорганизмами, которые присутствуют в ротовой полости любого без исключения человека.
- Появление кровоточивости. Последствие так или иначе возникает из-за того, что на зубах, которые очищались, присутствовал кариес. Вследствие этого после процедуры при употреблении еды, осуществляющей воздействие на десну, происходит потеря крови.
- Проявление болезненных ощущений. Данный неблагоприятный симптом возникает из-за наличия воспалительного процесса, а также определенных повреждений тканей вокруг зубов.
Таким образом, существует большое количество последствий профессиональной чистки зубов. Ко всем ним нужно быть готовым, прежде чем проводить лечение ротовой полости.
Заболевания, вызывающие боль в деснах
- Причины
Гингивитом в стоматологии называют нередко сопровождающееся болями воспаление десен, при котором не нарушается целостность зубодесневого прикрепления. Как правило, основной причиной заболевания становится недостаточная гигиена полости рта, что способствует скоплению на зубах мягкого налета. Он является прекрасной средой для развития и размножения патогенной микрофлоры, способствующей развитию воспаления. Причина гингивита может быть и иной. К примеру, воспаление, из-за которого болит десна около зуба, иногда развивается из-за дефицита в организме витаминов В1, С, А и Е. Недостаток этих веществ делает десны рыхлыми, снижая их устойчивость к инфекциям. Гингивит также иногда сопутствует седечно-сосудистым патологиям, болезням крови и пищеварительного тракта. Гормональный дисбаланс в подростковом возрасте и в период беременности также способен спровоцировать болезни зубов и воспаление десен, сопровождающееся болью.
- Характерные признаки
У человека, страдающего гингивитом, десны болят и кровоточат при чистке зубов и во время приема твердой пищи. Иногда появляется отечность и покраснение. Больной может жаловаться на боль, неприятный привкус и запах изо рта. Тяжелая форма заболевания – язвенный гингивит – как и следует из названия, сопровождается образованием болезненных язв на деснах. Если болезнь не лечить, появляется характерный гнилостный запах изо рта, а воспаленные десны, окружающие зуб, начинают кровоточить даже при слабом нажатии.
Пародонтит
- Причины
Пародонтит сопровождается воспалением окружающих зуб тканей, при этом в патологический процесс оказываются вовлечены костные структуры и связочный аппарат челюсти. При этой патологии кроме мягкого налета образуется и зубной камень. Воспаление, из-за которого болят десны, может развиться на фоне иммунодефицита, сахарного диабета, а также некоторых других тяжелых хронических заболеваний. Нередко пародонтит возникает из-за неправильного (травмирующего) прикуса, аномального расположения зубов, анатомических нарушениях прикрепления уздечек и тяжей слизистой оболочки в полости рта, патологически повышенном тонусе жевательных мышц.
- Характерные признаки
У человека, страдающего пародонтитом, наблюдаются боли в деснах, они кровоточат и воспаляются. Иногда наблюдается нагноение пародонтальных карманов около зубов. Возможно изменение физиологического положения зубов и их расшатывание. Если десны около зуба болят, а адекватное лечение не проводится, заболевание протекает с осложнениями.
Чувствительность зубов после отбеливания и чистки ультразвуком
Под чувствительностью зуба подразумевается его чрезмерная реакция на тот или иной сенсорный раздражитель, которым может быть, как температура (холодная либо горячая), так и пища. Это явление, если его не лечить приводит к хроническим последствиям.
Возникновение чувствительности после удаления зубного камня обусловлено тем, что минеральные накопления, несмотря на свое неблагоприятное воздействие, все же в определенной степени защищают эмаль от химических, термических и тактильных раздражителей.
В некоторых случаях процесс чистки зубов определенными методами приводит к повреждению верхнего защитного слоя. В такой ситуации справиться с возникшим осложнением будет непросто.
Что делать, чтобы десны не болели после удаление зубного камня
Для того чтобы устранить последствия процедуры удаления камней на зубах, нужно правильное лечение посредством медикаментозных средств.
Как снять воспаление
Чтобы улучшить состояние ротовой полости, нужно обязательно избавиться от воспалительного процесса. Для этого используют некоторые методики, такие как:
- полоскание Хлоргексидином;
- аппликации Холисал-гелем;
- нанесение мази Метрогил Дента.
Обязательно также стоит использовать профессиональные зубные пасты, которые посоветовал лечащий врач-стоматолог. Только комплексное воздействие приводит к устранению симптомов.
Как снять боль
Для того чтобы полностью устранить болезненные ощущения, необходимо использовать следующие эффективные препараты:
Эти лекарственные средства позволяют избавиться от боли лишь на ограниченное количество времени.
Как снять кровоточивость
Для того чтобы избавиться от кровоточивости десен, следует пользоваться профессиональными зубными пастами. Среди них наибольшей эффективностью отличается Лакалут Актив, Лакалут Фитоформула и Парадонтакс. Также можно ополаскивать ротовую полость при помощи следующих народных средств:
- отвар черники;
- отвар дубовой коры;
- отвар шалфея;
- отвар ромашки, крапивы и календулы;
- настойка водяного перца;
Кора дуба Использовать лекарственные препараты для устранения боли лучше всего вместе с полосканием рта отварами.
Как снизить повышенную чувствительность зубов после чистки ультразвуком
Для того чтобы зубы не болели после отбеливания после проведения их чистки для удаления камней, необходимо провести комплексную терапию. Она состоит из нескольких аспектов, таких как:
- применение аппликаций с антимикробными противовоспалительными лекарственными средствами (Метрогил-дента, Траумель С др.);
- использования зубных паст на основе фтора;
- применения травяных ополаскивателей и отвар лекарственных трав.
Если пользоваться всеми вышеперечисленными средствами, чувствительность зубов в значительной мере станет менее ощутимой.
Полоскания
При воспалении десен после чистки 2-3 раза в день после еды следует проводить полоскание ротовой полости специальным обеззараживающим раствором.
Наилучший результат даст уникальный двухкомпонентный ополаскиватель для полости рта «АСЕПТА АКТИВ». Это средство с комбинацией «хлоргексидин бензидамин» подходит для лечения самых разных воспалительных заболеваний пародонта. Ополаскиватель на 41% уменьшает воспаление десен и на 43% снижает их кровоточивость.
Особенности ухода за полостью рта после профессиональной чистки зубов
Для того чтобы облегчить болезненные ощущения после чистки зубов от камней, выполняются некоторые важные правила:
- Необходимо воздержаться от употребления, как горячих, так и холодных напитков в течение нескольких часов.
- Стоит сутки не употреблять в пищу продукты, в составе которых присутствуют грибы.
- Целый день не употреблять напитки, компоненты которых способны окрашивать эмаль зубов. Среди них стоит выделить вино, кофе, некоторые соки и т.д.
- Важно перестать пользоваться предыдущей зубной щеткой – ее нужно заменить на новую.
- Применять те средства, которые рекомендовал стоматолог.
- При возникновении сильных болей. Стоит отказаться от чистки зубов на целый день.
Если выполнять все требования, последствия процедуры будут менее выраженными и существенными.
Чистим зубы правильно
Чтобы после чистки зубы не болели и десны не кровоточили, важно найти подходящие аксессуары и соблюдать ключевые правила гигиены полости рта:
Обращайте внимание на размер и жесткость зубной щетки. Важно, чтобы при чистке не травмировались десны и не нарушалась целостность эмали. Выбрать нужный размер просто – купите модель, которая не вызывает рвотного рефлекса, то есть обрабатывает зубы и десны, но при этом не захватывает корень языка.
Чистите зубы минимум три минуты. Беглые движения щеткой «сверху вниз, как нас учили в детском саду», в течение 30 секунд, не защитят зубы и десны от бактерий. Чтобы паста эффективно сработала, важно качественно очистить все поверхности коронок – переднюю, заднюю и жевательную.
Помните о технике чистки. Хорошо массируйте щеткой зубы и десны, несильно надавливайте круговыми движениями на ткани. Важно не только очистить зубы, но и массировать десны с внешней и внутренней стороны. Подобные манипуляции усилят приток крови и укрепят ткани.
Не забывайте использовать зубную нить, чтобы удалить остатки пищи между зубами.
Обратите внимание на ополаскиватель. После чистки зубов стоматологи советуют прополоскать рот специально подобранным составом или отваром трав. Хорошими средствами являются кора дуба, ромашка и шалфей.





