Пузырчатый занос — это редкое, но серьезное осложнение беременности, которое требует внимательного отношения и своевременной диагностики. В данной статье мы подробно рассмотрим признаки этого заболевания, его причины возникновения и потенциальные риски для здоровья женщины и плода, особенно на ранних сроках беременности. Знание о пузырчатом заносе поможет будущим мамам и медицинским работникам своевременно распознать симптомы и принять необходимые меры, что является ключевым для сохранения здоровья и жизни.
Что такое пузырчатый занос
Пузырчатый занос, или молярная беременность, представляет собой аномалию, при которой в матке формируется не нормальный эмбрион, а скопление пузырьков, заполненных жидкостью. Это состояние возникает в результате нарушения процесса оплодотворения и последующего развития плода. В норме после оплодотворения яйцеклетка начинает делиться и развиваться, но при пузырчатом заносе происходит аномалия, в результате которой вместо нормального плода образуются пузырьки, представляющие собой атипичные ткани.
Существует два основных типа пузырчатого заноса: полная и частичная молярная беременность. При полной форме отсутствует нормальная эмбриональная ткань, и все ткани, которые развиваются, представляют собой аномальные пузырьки. Частичная форма подразумевает наличие как аномальных, так и нормальных тканей, но в этом случае также не формируется жизнеспособный плод.
Пузырчатый занос может возникать по различным причинам, включая генетические аномалии, которые могут возникать как в яйцеклетке, так и в сперматозоиде. Риск развития этого состояния повышается у женщин старше 35 лет, а также у тех, кто ранее уже имел случаи молярной беременности в анамнезе.
Важно отметить, что пузырчатый занос не является нормальным состоянием беременности и требует медицинского вмешательства. При отсутствии лечения это может привести к серьезным осложнениям, включая развитие хорионкарциномы — злокачественной опухоли, которая может возникнуть из аномальных тканей. Поэтому так важно знать о признаках и симптомах пузырчатого заноса, чтобы вовремя обратиться к врачу и получить необходимую помощь.
Эксперты в области акушерства и гинекологии подчеркивают, что пузырчатый занос является серьезным осложнением беременности, требующим внимательного подхода к диагностике и лечению. Основные признаки заболевания включают аномально высокий уровень ХГЧ, отсутствие сердцебиения плода и характерные изменения на УЗИ, такие как наличие пузырьков в матке. Для точной диагностики врачи рекомендуют проводить комплексное обследование, включая ультразвуковое исследование и анализы крови. Важно отметить, что ранняя диагностика позволяет избежать серьезных осложнений и выбрать оптимальную тактику лечения, что особенно актуально для сохранения здоровья женщины и ее будущих беременностей.

Виды пузырчатого заноса
Различают два вида пузырчатого заноса — полный и неполный. При первом виде заболевания теряются материнские гены и дублируются отцовские. При полном пузырчатом заносе происходит оплодотворение безъядерной яйцеклетки, в котором участвуют сразу два сперматозоида. Гибель плода в данном случае происходит на ранних сроках, до того момента, как установится плацентарное кровообращение.
При неполном пузырчатом заносе происходит оплодотворение яйцеклетки двумя сперматозоидами, а набор материнских хромосом задерживается. Такой вид заболевания предполагает, что плод погибает на 10 неделе беременности. Если в ворсинах накапливается много жидкости, синцитий (он покрывает пузырьки) может внедряться в матку. Такое изменение внутреннего органа напоминает опухоль и может стать причиной внутреннего кровотечения.
При полном пузырчатом заносе плод погибает, но сам занос продолжает расти и увеличивает матку. Это можно заметить при обследовании, когда размер матки не соответствует сроку беременности. При частичном заносе плод также погибает, но доношенная беременность является исключением.
| Признак/Симптом | Вероятность при пузырчатом заносе | Дополнительные диагностические методы |
|---|---|---|
| Кровотечение из влагалища (часто коричневое или темно-красное) | Высокая | УЗИ, анализ крови на ХГЧ |
| Токсикоз (тяжелый, ранний) | Высокая | Анализ крови на ХГЧ, УЗИ |
| Увеличение матки, не соответствующее сроку беременности | Высокая | УЗИ, измерение уровня ХГЧ |
| Отсутствие сердцебиения плода при УЗИ, соответствующем сроку беременности | Высокая | УЗИ, анализ крови на ХГЧ |
| Высокий уровень ХГЧ в крови | Очень высокая | Повторный анализ ХГЧ, УЗИ |
| Преэклампсия (высокое кровяное давление, белок в моче) | Средняя | Анализ мочи, измерение артериального давления |
| Боль внизу живота | Средняя | УЗИ, осмотр гинеколога |
| УЗИ-картина «снежного шара» или «гроздь винограда» | Очень высокая | |
| Изменение уровня альфа-фетопротеина (АФП) в крови | Средняя | Анализ крови на АФП |
Интересные факты
Вот несколько интересных фактов о пузырчатом заносе при беременности:
-
Пузырчатый занос и хромосомные аномалии: Пузырчатый занос (гидатидная моль) возникает в результате аномального оплодотворения, при котором происходит нарушение хромосомного набора. В большинстве случаев это связано с отсутствием хромосомы от матери, что приводит к образованию аномальных тканей вместо нормального эмбриона.
-
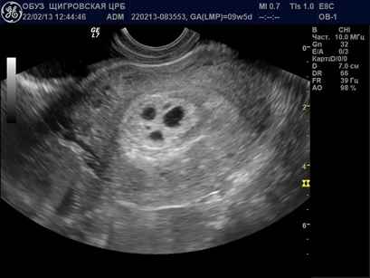
Диагностика с помощью УЗИ: Одним из основных методов диагностики пузырчатого заноса является ультразвуковое исследование. На УЗИ можно увидеть характерные «пузырьки» в матке, которые представляют собой скопления аномальных тканей. Это позволяет врачам быстро и точно определить наличие заболевания.
-
Риск развития опухолей: Женщины, перенесшие пузырчатый занос, имеют повышенный риск развития хориокарциномы — злокачественной опухоли, которая может возникнуть из остатков пузырчатого заноса. Поэтому после лечения важно проводить регулярные обследования для раннего выявления возможных осложнений.

Симптомы пузырчатого заноса во время беременности
Симптомы пузырчатого заноса во время беременности могут варьироваться в зависимости от стадии заболевания и индивидуальных особенностей организма женщины. Важно отметить, что на ранних сроках беременности признаки могут быть неочевидными, что делает своевременную диагностику особенно важной.
Одним из первых и наиболее заметных симптомов является аномальное увеличение размера матки. Женщина может заметить, что её живот растет быстрее, чем это обычно происходит на ранних сроках беременности. Это связано с образованием пузырьков, которые заполняют матку, вместо нормального развития плода.
Другим характерным признаком является наличие кровянистых выделений. Эти выделения могут быть как незначительными, так и обильными, что может указывать на возможные осложнения. Важно помнить, что любые изменения в выделениях должны быть немедленно обсуждены с врачом.
Также женщины могут испытывать симптомы, схожие с токсикозом, такие как тошнота и рвота. Однако в случае пузырчатого заноса эти симптомы могут быть более выраженными и продолжительными, чем при обычной беременности.
Некоторые женщины сообщают о болях внизу живота, которые могут быть связаны с растяжением матки или другими изменениями, происходящими в организме. Важно отметить, что любые сильные или продолжительные боли должны стать поводом для обращения к специалисту.
В редких случаях пузырчатый занос может привести к более серьезным осложнениям, таким как преэклампсия или даже разрыв матки, что также может проявляться в виде резкой боли и ухудшения общего состояния. Поэтому при появлении любых настораживающих симптомов необходимо незамедлительно обратиться за медицинской помощью.
Знание этих симптомов поможет женщинам быть более внимательными к своему состоянию и своевременно реагировать на изменения, что может сыграть решающую роль в сохранении здоровья как матери, так и будущего ребенка.
Диагностика пузырчатого заноса при беременности
Для исследования пузырчатого заноса применяются анализы крови, вагинальное обследование и УЗИ. Благодаря современным технологиям, с помощью ультразвука можно легко определить наличие такого заболевания. После проведения операции и лечения, врачи наблюдают за состоянием женщины и проводят разные обследования.
Чтобы увидеть, как выглядит пузырчатый занос, можно посмотреть фото в интернете. Обычно на ультразвуковом исследовании четко видны пузыри, которые располагаются внутри матки. Как можно понять, при таких изменениях в органе, развитие здорового плода не может происходить.
Некоторые врачи говорят о том, что заболевания половых органов, в том числе, и наличие пузырчатого заноса — это последствия некоторых вирусных и инфекционных недугов (например, токсоплазмоза). Занос чаще всего диагностируется при повторных родах у женщин после 35 лет, а также при многократных родах.
Лечение заболевания
Лечение пузырчатого заноса при беременности зависит от стадии заболевания и состояния женщины. В большинстве случаев, если диагноз подтвержден, беременность прерывается, так как продолжение может представлять серьезную угрозу для здоровья матери.
Основные методы лечения включают:
-
Хирургическое вмешательство. Обычно проводится выскабливание полости матки, чтобы удалить аномальные ткани. Это необходимо для предотвращения дальнейших осложнений, таких как развитие хорионкарциномы — злокачественной опухоли, которая может возникнуть из клеток пузырчатого заноса.
-
Мониторинг состояния. После удаления пузырчатого заноса важно регулярно контролировать уровень гормона ХГЧ (хорионического гонадотропина человека) в крови. Это поможет убедиться, что все аномальные ткани были удалены и нет риска рецидива. Уровень ХГЧ должен постепенно снижаться до нормальных значений.
-
Поддерживающая терапия. В некоторых случаях может потребоваться лечение для восстановления гормонального фона и общего состояния здоровья женщины. Это может включать назначение витаминов и минералов, а также препаратов, способствующих нормализации менструального цикла.
-
Психологическая поддержка. Пузырчатый занос может стать серьезным эмоциональным испытанием для женщины. Поэтому важно обеспечить психологическую помощь, чтобы помочь справиться с потерей и стрессом, связанными с заболеванием.
Важно отметить, что после лечения женщины должны находиться под наблюдением врача в течение определенного времени, чтобы исключить возможность рецидива заболевания. В большинстве случаев, при своевременном обращении и правильном лечении, прогноз для здоровья женщины благоприятный.
Видео по теме статьи
Профилактика пузырчатого заноса при беременности
Профилактика пузырчатого заноса при беременности является важным аспектом, который может помочь снизить риск развития этого заболевания. Пузырчатый занос, или гидатидная молярная беременность, представляет собой аномалию, при которой вместо нормального эмбриона в матке развивается аномальная ткань, напоминающая пузырьки. Это состояние может привести к серьезным осложнениям, поэтому важно знать, как минимизировать риски.
Одним из ключевых факторов профилактики является ранняя диагностика и регулярное наблюдение у врача. Женщинам, которые ранее перенесли пузырчатый занос, рекомендуется проходить более частые ультразвуковые исследования и анализы на уровень хорионического гонадотропина (ХГЧ) в крови. Это позволит своевременно выявить возможные проблемы и принять необходимые меры.
Кроме того, важно учитывать генетические факторы. Если в семье были случаи пузырчатого заноса, стоит обсудить с врачом возможность генетического консультирования. Это поможет оценить риски и принять обоснованные решения относительно планирования беременности.
Здоровый образ жизни также играет значительную роль в профилактике. Женщинам рекомендуется следить за питанием, избегать стрессов, а также отказаться от вредных привычек, таких как курение и употребление алкоголя. Употребление витаминов и минералов, особенно фолиевой кислоты, может помочь поддержать здоровье матери и плода.
Важно также следить за состоянием здоровья до беременности. Хронические заболевания, такие как диабет или гипертония, могут увеличить риск развития пузырчатого заноса. Поэтому перед планированием беременности рекомендуется пройти полное медицинское обследование и при необходимости провести коррекцию здоровья.
Наконец, необходимо помнить о важности психологической подготовки. Эмоциональное состояние женщины может влиять на течение беременности, поэтому важно находить время для отдыха и расслабления, а также обращаться за поддержкой к близким или специалистам в случае необходимости.
Таким образом, профилактика пузырчатого заноса при беременности требует комплексного подхода, включающего медицинское наблюдение, здоровый образ жизни и психологическую поддержку. Заботясь о своем здоровье и следуя рекомендациям врачей, женщины могут значительно снизить риски и повысить шансы на успешную беременность.
Вопрос-ответ
Какие симптомы пузырного заноса при беременности?
Симптомы пузырного заноса. Кровянистые выделения при пузырном заносе обычно не очень обильные и могут длиться всю беременность. Основные признаки пузырного заноса: сильный токсикоз с рвотой, которая может начаться на любом сроке беременности; гестоз в первом триместре. Увеличение матки, превышающее срок беременности.
Что может быть причиной пузырного заноса?
Причиной этого может быть оплодотворение одной яйцеклетки несколькими сперматозоидами, либо одним сперматозоидом с диплоидным (удвоенным) набором хромосом. Наблюдаются аномалии развития и уродства плода. Специфической профилактики пузырного заноса не существует, но можно снизить риск возникновения данной патологии.
Когда на УЗИ можно увидеть пузырный занос?
Виды пузырного заноса. Выявляется чаще такая патология на сроках 10-12 недель гестации. Содержит такой пузырный занос диплоидное количество хромосом 46 ХХ. При этом стоит сказать, что все хромосомы являются отцовскими. Может быть и кариотип 46 ХУ, однако Х и У также являются отцовскими.
Какой показатель ХГЧ при пузырном заносе?
Показатель ХГЧ о наступившей беременности говорит, что уровень β-ХГЧ выше 25 мМЕ/мл. Примерно до пятой недели этот показатель будет удваиваться каждые два дня. При пузырном заносе уровень ХГЧ повышается гораздо быстрее. Его показатели при полном ПЗ превышают 100 000 мМЕ/мл, а при частичном будут чуть ниже 100 000 мМЕ/мл.
Советы
СОВЕТ №1
Обратите внимание на изменения в вашем организме. Если вы заметили отеки, особенно на руках и ногах, или у вас возникли другие необычные симптомы, такие как головная боль или резкое увеличение веса, обязательно проконсультируйтесь с врачом.
СОВЕТ №2
Регулярно проходите медицинские осмотры. Важно следить за состоянием здоровья во время беременности, особенно если у вас есть предрасположенность к заболеваниям, связанным с пузырчатым заносом. Это поможет своевременно выявить возможные проблемы.
СОВЕТ №3
Обсуждайте свои опасения с врачом. Не стесняйтесь задавать вопросы и делиться своими переживаниями. Чем больше информации вы получите, тем лучше сможете понять свое состояние и принять необходимые меры.
СОВЕТ №4
Изучите информацию о пузырчатом заносе и его симптомах. Знание признаков заболевания поможет вам быть более внимательными к своему состоянию и вовремя обратиться за медицинской помощью.


